Universal index för bettskenor och apneskenor

Behandlingsgång
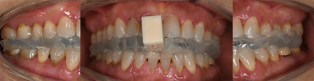
1. UTPROVNING
- Lägg in DeBiten i patientens mun.
 - Den skall vara stressfri, dvs inga tänder skall skapa stress på DeBiten
 
2. HÖJDEN
- Använd en ficksond och mät höjden.
 - Skulle någon tand ha lägre mellanrum så skall du ta den som mätpunkt
 - Höjden skall vara 2mm vid lägsta punkten i munnen, förslagsvis vid sista molaren.
 
3. SLIPA IN DEBITE
- Börja med att slipa in en hack
 - Sänk höjden till cirka 2mm vid molaren
 - När höjden är bestämd, slipa DeBiten jämt lingualt åt
 
4. TYP OF INDEX
- RP, Retruderade positionen (RP)
 - Centric Relation, CR
 - Där huvudet på kondylen ligger så långt framåt och uppe som möjligt i käken fossa / glenoid fossa.
 - IP, Interkuspidationspositionen
 - Hos, ca 90 % ligger IP normalt 0-1,5 mm framför RP.
 
5. INDEXTAGNING

6. DIGITAL SCANNING VS AVTRYCK
Vid scanning, ta index med De Bite i munnen
Eller så tar du dina traditionella avtryck och sänder indexet med till din tandtekniker
7. TA UT DEBITE INDEXET
8. TEST AV BETTSKENAN
9. PRINTADE BETTSKENOR

10. JUSTERA BETTSKENANS PASSFORM

- Innovation av Noran De Basso, leg Tandläkare - www.drdebasso.com
 - DeBite beställa här - endast 200kr för 5 pack. Till produkten
 - Bettskena utfördes av Svea Dental Design, www.sveadd.se
 
